Hsv Encephalitis Mri Radiology - Herpesviral Encephalitis Wikipedia - Severe infection, particularly untreated herpes simplex virus (hsv) encephalitis, can cause brain hemorrhagic necrosis.

Hsv Encephalitis Mri Radiology - Herpesviral Encephalitis Wikipedia - Severe infection, particularly untreated herpes simplex virus (hsv) encephalitis, can cause brain hemorrhagic necrosis.. Results in brain necrosis and liquefaction. What the radiologist can expect to see prenatally and postnatally. Multiple subtypes of the herpes virus family are neurotropic and may cause devastating neurologic injury. Looking to download safe free latest software now. Mri is the preferred imaging modality for hsv encephalitis.

Herpes simplex (hsv) encephalitis is the most common cause of fatal sporadic fulminant necrotizing viral encephalitis and has characteristic imaging findings. Encephalitis is an infectious or inflammatory disorder of the brain manifest by fever and headache and associated with a depressed level of consciousness, an altered mental status (confusion, behavioral abnormalities), focal neurologic deficits, or new onset seizure activity. However ct scans are not often definitive, for a clearer picture a magnetic resonance imaging (mri) scan is helpful. The above described radiological findings are impressive of herpes simplex encephalitis. Mri is the preferred imaging modality for hsv encephalitis.

Autoimmune Encephalitis Pathophysiology And Imaging Review Of An Overlooked Diagnosis American Journal Of Neuroradiology
Autoimmune Encephalitis Pathophysiology And Imaging Review Of An Overlooked Diagnosis American Journal Of Neuroradiology from www.ajnr.org
Herpes simplex (hsv) encephalitis is the most common cause of fatal sporadic fulminant necrotizing viral encephalitis and has characteristic imaging findings. In some cases, advanced imaging techniques such as computed tomography and magnetic resonance imaging (mri) can maertzdorf j, et al. Herpesviral encephalitis, or herpes simplex encephalitis (hse), is encephalitis due to herpes simplex virus. Mushroom sign of pyloric stenosis. The imaging findings of hsv encephalitis on ct may be initially normal or subtly abnormal. Brain ct scan must be urgently performed to rule out a brain lesion with mass effect that would contraindicate lumbar puncture. Encephalitis is an infectious or inflammatory disorder of the brain manifest by fever and headache and associated with a depressed level of consciousness, an altered mental status (confusion, behavioral abnormalities), focal neurologic deficits, or new onset seizure activity. Herpes simplex encephalitis (hse) is the most common cause of fatal sporadic encephalitis worldwide.

Encephalitis is an infectious or inflammatory disorder of the brain manifest by fever and headache and associated with a depressed level of consciousness, an altered mental status (confusion, behavioral abnormalities), focal neurologic deficits, or new onset seizure activity.

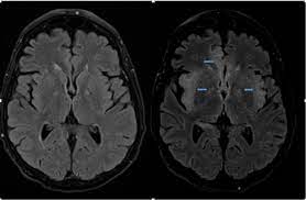
Rasmussen's encephalitis is a progressive hemispheric atrophy of unknown origin. Hsv1 encephalitis should always be considered on initial mri. Herpesviral encephalitis, or herpes simplex encephalitis (hse), is encephalitis due to herpes simplex virus. Multiple subtypes of the herpes virus family are neurotropic and may cause devastating neurologic injury. Herpes simplex (hsv) encephalitis is the most common cause of fatal sporadic fulminant necrotizing viral encephalitis and has characteristic imaging findings. The differential diagnoses include limbic encephalitis (paraneoplastic), gliomatosis cerebri, and status epilepticus. In some cases, advanced imaging techniques such as computed tomography and magnetic resonance imaging (mri) can maertzdorf j, et al. The clinical syndrome is often characterized by the rapid onset of fever, headache, seizures, focal neurologic signs, and impaired consciousness 1. The images show symmetrical bilateral putaminal vasogenic oedema with mild restriction on diffusion and no bleed. The mortality from hsv is high, so commencement of treatment with antiviral drugs (acyclovir) is recommended without delay with the typical radiological find. Herpes simplex encephalitis is a type of infectious encephalitis which happens when herpes simplex virus (hsv) enters the brain. Results in brain necrosis and liquefaction. Severe infection, particularly untreated herpes simplex virus (hsv) encephalitis, can cause brain hemorrhagic necrosis.

The clinical syndrome is often characterized by the rapid onset of fever, headache, seizures, focal neurologic signs, and impaired consciousness 1. Herpes simplex encephalitis is a type of infectious encephalitis which happens when herpes simplex virus (hsv) enters the brain. Mushroom sign of pyloric stenosis. Axial flair and coronal t2wi show atrophy of the left cerebral hemisphere with enlargement of the lateral ventricle. Rasmussen's encephalitis is a progressive hemispheric atrophy of unknown origin.

Herpes Encephalitis3
Herpes Encephalitis3 from case.edu
Herpesviral encephalitis, or herpes simplex encephalitis (hse), is encephalitis due to herpes simplex virus. The differential diagnoses include limbic encephalitis (paraneoplastic), gliomatosis cerebri, and status epilepticus. Typical mri features of herpes simplex encephalitis. Herpes simplex encephalitis is a type of infectious encephalitis which happens when herpes simplex virus (hsv) enters the brain. Contributed by mark cohen, m.d. But changes are not specific for hsv (e.g. The mortality from hsv is high, so commencement of treatment with antiviral drugs (acyclovir) is recommended without delay with the typical radiological find. Severe infection, particularly untreated herpes simplex virus (hsv) encephalitis, can cause brain hemorrhagic necrosis.

Herpes simplex virus 2 (hsv2) is primarily responsible for disseminated neonatal encephalitis although rare cases have been described in elderly, immunocompromised patients.

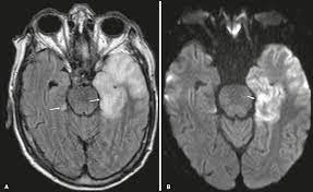
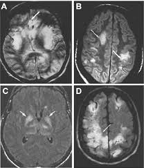
Herpes simplex encephalitis is a type of infectious encephalitis which happens when herpes simplex virus (hsv) enters the brain. What the radiologist can expect to see prenatally and postnatally. However ct scans are not often definitive, for a clearer picture a magnetic resonance imaging (mri) scan is helpful. The differential diagnoses include limbic encephalitis (paraneoplastic), gliomatosis cerebri, and status epilepticus. Herpes simplex virus 2 (hsv2) is primarily responsible for disseminated neonatal encephalitis although rare cases have been described in elderly, immunocompromised patients. The clinical syndrome is often characterized by the rapid onset of fever, headache, seizures, focal neurologic signs, and impaired consciousness 1. In some cases, advanced imaging techniques such as computed tomography and magnetic resonance imaging (mri) can maertzdorf j, et al. Mri is the diagnostic modality of choice. Hsv encephalitis, herpes simplex encephalitis. Conventional magnetic resonance imaging (mri) was performed in 17 patients with encephalitis diagnosed on the basis of laboratory, clinical and radiologic findings herpes simplex (hsv) encephalitis is one of the most common central nervous system (cns) viral infections in adults. The above described radiological findings are impressive of herpes simplex encephalitis. The images show symmetrical bilateral putaminal vasogenic oedema with mild restriction on diffusion and no bleed. Two subtypes are recognized which differ in demographics, virus, and pattern of involvement.

Mri is the diagnostic modality of choice. Hsv1 encephalitis should always be considered on initial mri. Serial mr study of an emerging disease. Mri is the preferred imaging modality for hsv encephalitis. The mortality from hsv is high, so commencement of treatment with antiviral drugs (acyclovir) is recommended without delay with the typical radiological find.

Imaging Of Central Nervous System Viral Diseases Gupta 2012 Journal Of Magnetic Resonance Imaging Wiley Online Library
Imaging Of Central Nervous System Viral Diseases Gupta 2012 Journal Of Magnetic Resonance Imaging Wiley Online Library from onlinelibrary.wiley.com
Herpes simplex encephalitis is a type of infectious encephalitis which happens when herpes simplex virus (hsv) enters the brain. The mortality from hsv is high, so commencement of treatment with antiviral drugs (acyclovir) is recommended without delay with the typical radiological find. Hsv encephalitis causes inflammation, hemorrhage and edema. Typical mri features of herpes simplex encephalitis. Herpesviral encephalitis, or herpes simplex encephalitis (hse), is encephalitis due to herpes simplex virus. Brain ct scan must be urgently performed to rule out a brain lesion with mass effect that would contraindicate lumbar puncture. In some cases, advanced imaging techniques such as computed tomography and magnetic resonance imaging (mri) can maertzdorf j, et al. Multiple subtypes of the herpes virus family are neurotropic and may cause devastating neurologic injury.

Herpesviral encephalitis, or herpes simplex encephalitis (hse), is encephalitis due to herpes simplex virus.

Mushroom sign of pyloric stenosis. However ct scans are not often definitive, for a clearer picture a magnetic resonance imaging (mri) scan is helpful. In some cases, advanced imaging techniques such as computed tomography and magnetic resonance imaging (mri) can maertzdorf j, et al. What the radiologist can expect to see prenatally and postnatally. Hsv encephalitis causes inflammation, hemorrhage and edema. Severe infection, particularly untreated herpes simplex virus (hsv) encephalitis, can cause brain hemorrhagic necrosis. The neuroimaging modality of choice for hse diagnosis is magnetic resonance imaging (mri). The images show symmetrical bilateral putaminal vasogenic oedema with mild restriction on diffusion and no bleed. But changes are not specific for hsv (e.g. Mri is the preferred imaging modality for hsv encephalitis. The above described radiological findings are impressive of herpes simplex encephalitis. Hsv1 encephalitis should always be considered on initial mri. Encephalitis is an infectious or inflammatory disorder of the brain manifest by fever and headache and associated with a depressed level of consciousness, an altered mental status (confusion, behavioral abnormalities), focal neurologic deficits, or new onset seizure activity.

Herpes simplex encephalitis is a type of infectious encephalitis which happens when herpes simplex virus (hsv) enters the brain hsv encephalitis mri. It is estimated to affect at least 1 in 500,000 individuals per year, and some studies suggest an incidence rate of 5.9 cases per 100,000 live births.

Comments